当院の矯正の特徴
当院は矯正治療のみの歯科医院ではありません。
そのため、他の治療も踏まえた包括的な治療法をご提案させていただくことが可能です。
インプラント、ホワイトニング、予防歯科など、歯の全てに精通する当院だからこそ提供できる、より美しく健康的な治療を患者様とのコンサルテーションを踏まえ提供いたします。
また、矯正治療は場合によってはかなり高額となりますが、当院では、少しでも患者様の負担を減らしたく、比較的安価な治療費での矯正を行っております。矯正をお考えの方は、ぜひ一度当院にご相談下さい。
むし歯・歯周病発症リスクを軽減
歯並びが悪い状態では、歯ブラシが行き届かずに磨き残しが増えてしまい、結果として むし歯や歯周病の原因になります。 歯並びが改善されると口腔ケアも行き届き、口腔内を清潔に保つことができます。
治療方法
1.ワイヤーでの矯正治療
費用自体は安い。専門医では無いから、他の修復も考えながら包括的な治療が出来るのがポイント。
本格矯正(表側矯正)
セラミックの器具と白いワイヤーで目立たない治療が可能。
MTM(部分矯正)
部分的な矯正治療として、MTMをよく使っている。 ほんの少し歯を動かすと全体的によ良くなるケースに使用している。
※MTMをしたうえで補綴治療をすることにより、 効果的に審美的、予防的治療が可能な場合があります。
治療期間中はプラークコントロールがしにくい。
手入れが不十分の場合は、むし歯になったり、歯肉炎になったりします。
2.目立ちにくいマウスピース矯正
目立たないクリアなマウスピースの矯正治療です。
患者様のは並びに合わせて、透明な装置(アライナー)をオーダーメイドで作製します。
従来のワイヤーを使用したものより目立ちにくく 、大事な日には外すことも可能です。
当院では部分矯正と全体矯正のマウスピース治療をご用意しております。
※症例によってはマウスピースの治療が不可能な場合がございます。
※症例により治療期間と費用が異なりますので、詳しくはお問い合わせください。
シュアスマイル・アライナー
全体の矯正治療「シュアスマイル」は従来のマウスピース矯正より幅広い症例の治療が可能となりました。
最大のメリットはバーチャルペイシェントと呼ばれる仮想患者を用いて治療計画を立てられることです。
より安全に効率的な矯正治療がを進めることができます。
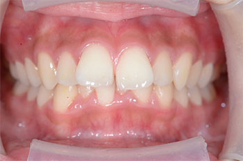
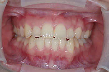
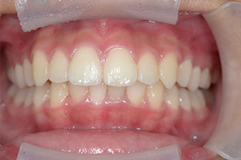
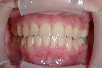
上顎前突(Class2)の症例
治療前
治療後
治療前
治療後
治療法:SureSmileアライナー矯正
治療期間:1年4ヶ月
治療費:¥541,200(税込)
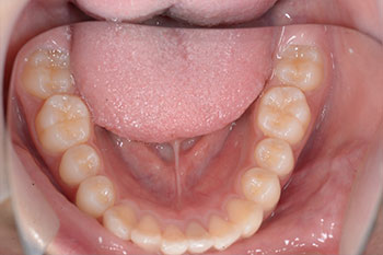
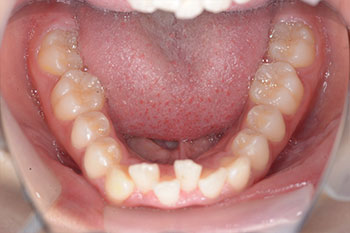
叢生を伴う下顎前突(Class3,Crowding)の症例
治療前
治療後
治療前
治療後
治療法:SureSmileアライナー矯正
治療期間:1年4ヶ月
治療費:¥551,100(税込)
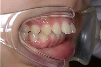
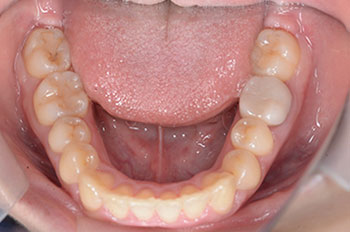
狭窄歯列、上下顎叢生、上顎前突、臼歯部(class3)の症例
治療前
治療後
治療前
治療後
治療法:SureSmileアライナー矯正
治療期間:1年3ヶ月
治療費:¥552,200(税込)
施術の説明
本格矯正(表側矯正)
表側矯正とは、歯の表面に矯正装置を取り付ける矯正治療のことです。
この治療で用いられる矯正装置は年々開発が進んでおり、現在では従来の金属色の矯正装置はほとんど見られなくなりました。
最近ではセラミックと白いワイヤーなどでできた目立ちにくい矯正装置が主流になっています。
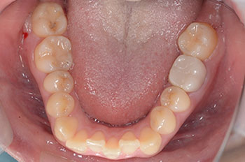
MTM(部分矯正)
MTM(Minor Tooth Movement)とは、部分的な矯正治療のことを言います。
少しだけ歯を動かすと、全体的な歯並びがよくなる場合に用いられます。
またこのMTMは、通常大人の患者様に行います。
施術前
施術後
治療期間約3年
※臼歯部(奥の歯)の抜歯が必要な場合もあります。
